Search

Share on

TABULOSE® SC colloidal microcrystalline cellulose – Key factors to consider when using TABULOSE® SC in pharmaceutical suspensions

Published February 07, 2026

Resource Pharma

Author(s)

Carin Siow

Pharmaceutical Application Scientist

Low Jeslyn

GBU Pharma, Assistant Research Scientist, Singapore

Kwan Hang Lam

Analytical Senior Scientist, Roquette

Bing Xun TAN

GBU Pharma, Customer Technical Services Laboratory Manager, Singapore

Introduction 

Pharmaceutical suspensions can be formulated for different routes of administration, such as oral, inhalation and parenteral routes. For liquid formulations, it is considered when the drug is insoluble in the delivery vehicle, avoiding the need of co-solvents. Oral suspensions present as an attractive option for patients with tablet or capsule swallowing difficulties, such as the pediatric and geriatric populations.  

The suspensions are dispersions of solid materials, generally the drug particles, in a liquid medium. Besides the chemical stability and dose integrity, the particulate interaction and sedimentation behaviors are important considerations in the formulation of pharmaceutical suspensions. In an ideal situation, sedimentation should be minimal, and if it cannot be avoided, it is crucial to enable easy re-dispersion of the sediment by inverting or gently shaking the container, ensuring accurate and consistent medication dosing.

Most pharmaceutical suspensions contain solid particles typically in the size range of 0.1 to 10 µm, where sedimentation is known to be a significant cause of particle motion. According to Stokes’ sedimentation equation, the sedimentation velocity of the solid particles is affected by the particle size, the densities of both the particle and dispersion medium, as well as the viscosity of the dispersion medium (Figure 1).

F1

Figure 1.  Stokes’ equation and the impact of particle diameter, particle density and the viscosity of the dispersion medium on the sedimentation rate.

One of the formulation strategies to mitigate the sedimentation risks is to increase the viscosity of the dispersion medium, through the addition of polymeric excipients. TABULOSE® SC colloidal microcrystalline cellulose is a co-processed product comprising microcrystalline cellulose (MCC) and sodium carboxymethylcellulose (Na-CMC) that acts as a suspending agent and viscosity modifying agent in suspensions. When dispersed in water, TABULOSE® SC creates a three-dimensional structure built by MCC particles and Na-CMC chains, forming a network which helps to disperse the solid particles and minimize sedimentation. The presence of Na-CMC serves as a protective colloid to prevent the re-aggregation of the MCC and ensures easy dispersibility.

In this white paper, the key factors to consider when using TABULOSE® SC as a suspending agent in pharmaceutical suspensions will be discussed. 

1. Selection of viscosity grade and the effect of concentration

Different viscosity grades of TABULOSE® SC are available to cater to different formulation needs. Table 1 shows an overview of the TABULOSE® SC products according to the proportion of MCC, Na-CMC and initial viscosity.

 

Table 1. Overview of TABULOSE® SC products commonly used in pharmaceutical suspensions.

 GradeProportion of MCC (%)  Proportion of Na CMC (%)Initial viscosity* (mPa.s) Examples of application areas 
TABULOSE SC 591 86.2 - 91.7 8.3 - 13.8 39-91
  • Oral liquid suspensions
  • Nasal spray
TABULOSE SC 611 81.2 - 88.7 11.3 - 18.8 85-200
  • Oral liquid suspensions
  • Powders for oral suspensions reconstitution
  • Nasal spray

* Determined based on 1.2 % solid content for TABULOSE® SC 591 and 2.6 % solid content for TABULOSE® SC 611.

 

Depending on the concentration of TABULOSE® SC, the resultant suspension may exhibit different flow properties. Lower concentrations tend to produce fluid dispersions while higher concentrations form thixotropic gels. Thixotropy is the property of certain gels or fluids that exhibit a reduction of viscosity when subjected to shear stress. The structure that is formed on standing with the suspending agent has a high viscosity or a yield value that helps to slow sedimentation. When a force (e.g. stirring, shaking) that is greater than the yield value is applied, the structure temporarily breaks down and becomes more fluid. This is reversible and if left undisturbed, the structure is able to regain its viscosity. This is a useful property of TABULOSE® SC that can be leveraged in pharmaceutical suspensions to increase the formulation viscosity while still enabling the flow of the suspension and provide ease of redispersion of the settled particles.

The yield value and thixotropy behavior of a dispersion medium can be experimentally determined and observed using a rotational viscometer. As can be seen from Figure 2, the presence of a yield point is observed for TABULOSE® SC 591 and TABULOSE® SC 611 at concentrations of around 1.0-1.2 % and 2.0-2.6 % respectively. The yield point is read as the value on the shear-stress axis that appears at the beginning of the flow curve. It represents the minimum shear stress below which the liquid behaves like a solid. 
The thixotropic profiles of TABULOSE® SC 591 and TABULOSE® SC 611 are shown in Figure 3. 
Therefore, the commonly recommended use levels of TABULOSE® SC 591 and TABULOSE® SC 611 are around 1.2 % and 2.6 % respectively to ensure the appropriate behavior of the solution. 

A)

F2

B)

F3

Figure 2. Shear stress versus shear rate graphs for (a) TABULOSE® SC 591 and (b) TABULOSE® SC 611 prepared at various concentrations.

A)

F4

B)

F5

Figure 3. Thixotropic profiles of (a) 1.2 % TABULOSE® SC 591 and (b) 2.6 % TABULOSE® SC 611

2.Activation of TABULOSE® SC – Dispersing techniques

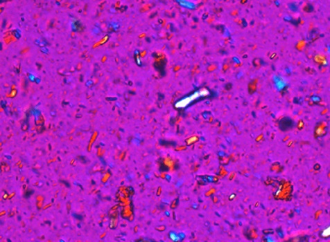
TABULOSE® SC should be dispersed in an aqueous liquid phase, using high shear to deagglomerate the cellulose crystal aggregates and form a three-dimensional network to suspend the insoluble particles. Suitable equipments that are recommended to disperse TABULOSE® SC include high shear mixers and rotor-stator mixers. This is illustrated in the example below, where the same formulation of 1.2 % TABULOSE® SC 591 was prepared on both a low shear overhead stirrer and a Silverson rotor-stator mixer for the same duration. One way to verify if TABULOSE® SC 591 was properly dispersed will be to view the dispersions under the polarized light microscope. For the dispersions prepared on the Silverson mixer, well-dispersed MCC particles can be observed based on the particle’s birefringence which is due to its semi-crystalline nature (Figure 4a). In contrast, the dispersions prepared on the low shear overhead stirrer showed obvious clumps of microcrystals, indicating that dispersion was not achieved (Figure 4b-c).

When dispersed and hydrated effectively, the individual MCC particles should be deagglomerated to form the three-dimensional network structure, which is the basis of the thixotropic system. From Figure 5, it is evident that the viscosity of the TABULOSE® SC 591 dispersion prepared with the low shear overhead stirrer had a significantly lower viscosity compared to the dispersion prepared with the Silverson mixer. Clearly, incomplete dispersion of TABULOSE® SC 591 will impede the viscosity and performance of the formulation. 

A)

F6

B)

F7

C)

F8

Figure 4. Polarized light microscope images of 1.2 % TABULOSE® SC 591 prepared using (a) Silverson mixer and (b-c) low shear overhead stirrer, under 100x magnification.

F9

Figure 5. Viscosity versus shear rate graphs for 1.2 % TABULOSE® SC 591 prepared using two different equipment.

3. Order of addition and influence of low pH conditions

A typical suspension contains a host of other excipients to aid in the formulation. Wetting agents, sweeteners, preservatives, buffers, flavors are some examples. TABULOSE® SC is easily dispersed in cold water and the dispersion should be prepared before adding the other excipients. This is to avoid any negative impact on the functionality of TABULOSE® SC in the formation of a three-dimensional structure network. Hydration of TABULOSE® SC occurs within 24 hours, after which further viscosity increase is not observed, as shown in Figure 6 using TABULOSE® SC 611 as an example.

F10

Figure 6. Viscosity of 2.6 % TABULOSE® SC 611 dispersion measured at the respective timepoints.

In the formulation of pharmaceutical suspensions with TABULOSE® SC, care has to be exercised when formulating with low pH (i.e. pH <4) or in the presence of divalent cations (e.g. magnesium, calcium). In the presence of low pH and/or high levels of cations, flocculation happens due to the neutralization of the negative charge on CMC. This is evident in the appearance and performance of the dispersions. The polarized light microscopy images of 1.2 % TABULOSE® SC 591 under two pH conditions shows the difference between a dispersed sample versus a flocculated sample (Figure 7). The rheological property of the dispersion is also affected, where the thixotropic behavior is lost (Figure 8). With an adequately dispersed system, recovery of the three-dimensional network system is expected when the shear is removed, as seen in the pH 6.9 system with the recovery of viscosity close to the initial level. However, this was not observed with the flocculated sample. To overcome this, additional protective colloids (e.g. Na-CMC, xanthan gum) may need to be added to the formulation to avoid this issue. 

A)

F10

B)

F11

Figure 7.  Polarized light microscopy images of 1.2 % TABULOSE® SC 591 in (a) pH 6.9 and (b) pH 2.2 conditions.

F12

Figure 8. Viscosity-time profile of 1.2 % TABULOSE® SC 591 samples.  

 

Conclusion

A brief overview of the key factors to consider when using TABULOSE® SC as a suspending agent in pharmaceutical suspensions are covered in this whitepaper. While the formulation of suspensions can be challenging, it is important to recognize that an understanding of the science behind suspension formulation can greatly help in the selection of suitable excipients and minimize dispersion issues. 

References

1. Arora K, Vats V, Verma PK. A Review on Pharmaceutical Suspension and Its Advancement. Annals of Clinical Case Reports. 2022; 7. 2022;2321.
DOI: 10.25107/2474-1655.2321

2. Lee CH, Moturi V, Lee Y. Thixotropic property in pharmaceutical formulations. Journal of controlled release. 2009 Jun 5;136(2):88-98. 
https://doi.org/10.1016/j.jconrel.2009.02.013

3. Barker SA. Suspensions. In: Aulton ME, Taylor K, editors. Aulton's pharmaceutics: the design and manufacture of medicines. Elsevier Health Sciences; 2013.

4. Ofner CM, Schnaare RL, Schwartz JB. Oral Aqueuous Suspensions. In: Lieberman H, Rieger M, Banker GS, editors. Pharmaceutical dosage forms: Disperse systems. Volume 2. Marcel Dekker, Inc; 1996.

 

 

® Registered trademark(s) of Roquette Frères. Any information provided herein is intended for healthcare and food industry professionals for internal use only and not to be delivered as such to final consumers. Information is based on our current state of knowledge and made available on an informational basis; products described may have restrictions with respect to their use, communication, and/or usage levels, and such may vary on a country-by-country basis. Manufacturers of dietary supplements should evaluate the intended use of the particular ingredient in their finished dietary supplement to confirm compliance with the applicable laws and regulations of authorities regulating such products, because the suitability and regulatory status of a product may be dependent on its specific intended use. As the use of these products is beyond our control, Roquette makes no express or implied warranties regarding the use of the product and no guarantee of product properties, and in particular no express or implied warranties regarding the use of the product in dietary supplements, including without limitation the implied warranties of merchantability and fitness for a particular purpose, and Roquette disclaims liability for any loss and/or damage related to such use. Roquette, further, does not warrant that the information or its use will not infringe any patent or other proprietary rights of any third party. Roquette providing this information is not a commitment to sell any product encompassing any of such information in the future.